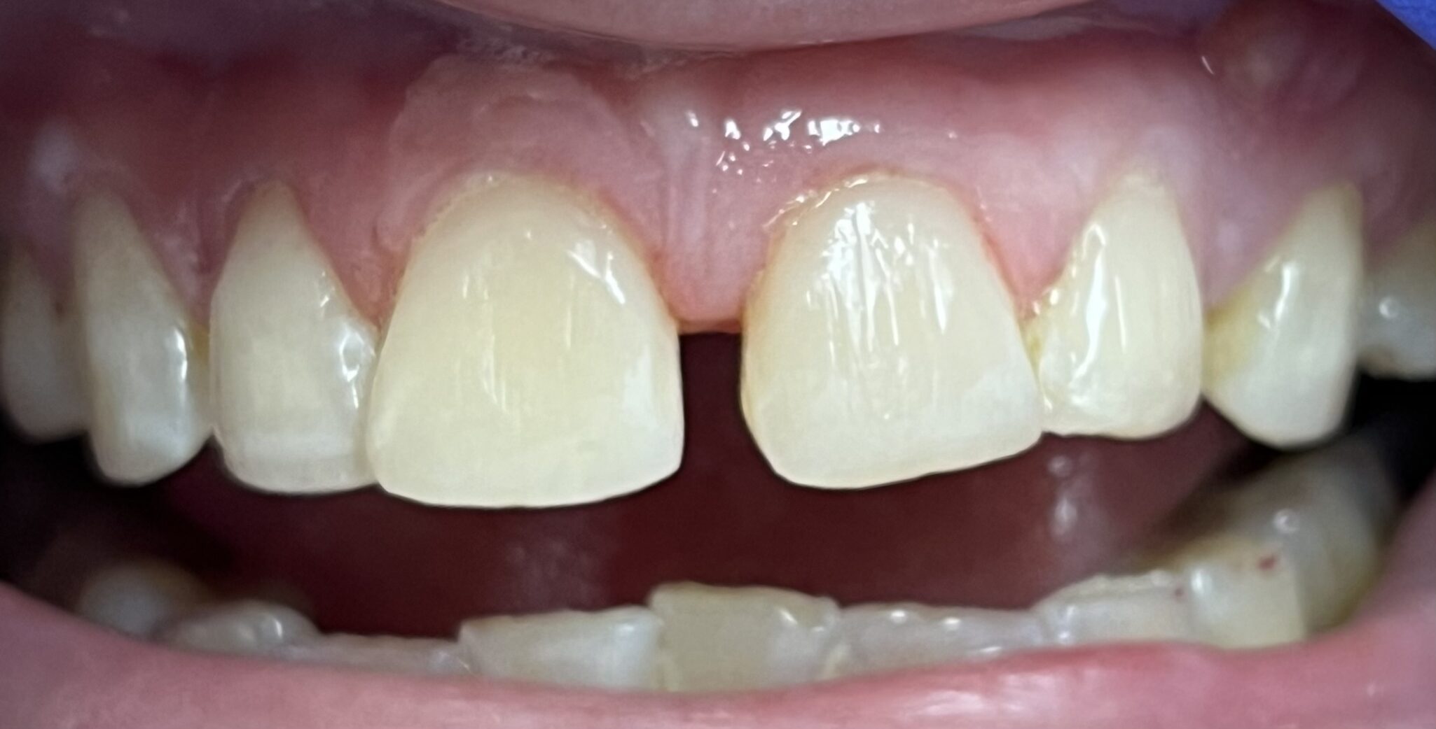
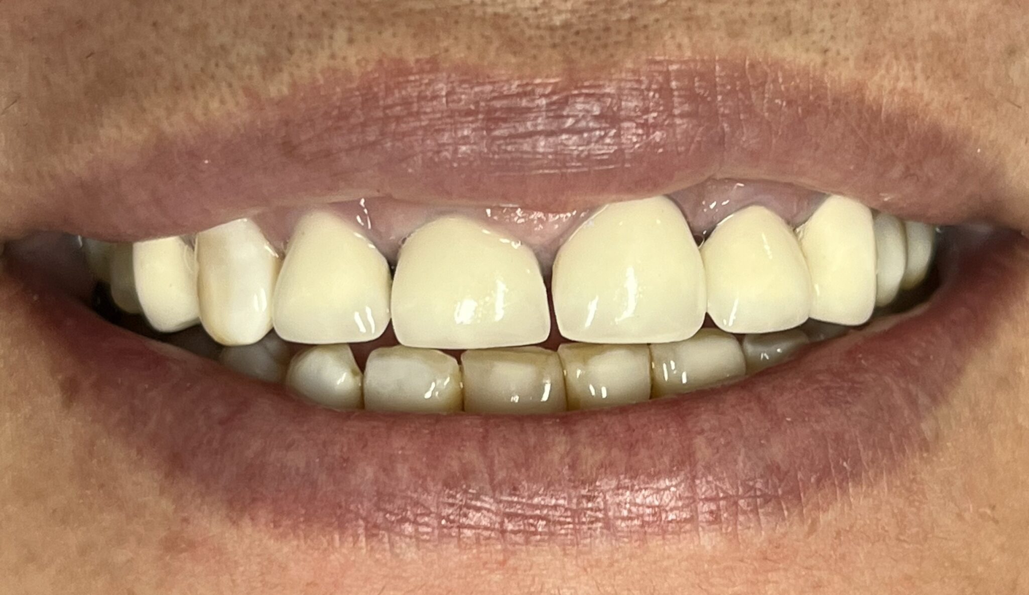
Before And After

Before 1After 1
Before 2After 2
Before 3After 3
Teeth-1-BeforeTeeth-1-After

Call Today!

(316) 838-1300